小児矯正
小児矯正
当院では、「歯を並べる」のではなく、「歯がきれいに並ぶ顎を育てる」事を目的とした小児矯正を行っています。お子さまの成長に合わせた矯正治療を提供し、将来的に健康で美しい歯並びへと導きます。
当院では、プレオルソ(やわらかいマウスピース型矯正装置)を使用し、無理なく歯並びを改善していきます。夜寝る時と日中1時間の装着だけなので、お子さまへの負担が少なく、学校や園に持っていく必要がないのが特徴です。
プレオルソは、単に歯を動かす矯正ではなく、顎の成長を促し、永久歯がきれいに生えそろうための土台を作る治療です。早期に適切な顎の発育をサポートする事で、将来的に抜歯のリスクやワイヤー矯正の必要性を減らす事が期待できます。
プレオルソを使った矯正は、舌の正しい位置や口呼吸の改善にもつながり、睡眠の質やお顔立ちの成長にも良い影響を与えるとされています。特に、口呼吸が原因で歯並びが悪くなるケースでは、早期に改善する事で健康面にも良い結果をもたらします。
当院では、ワイヤー矯正や複雑な矯正装置を使用した治療は行っていません。必要な場合は、専門の矯正歯科医と連携し、適切な治療が受けられるようご紹介いたします。
お子さまの歯並びやお口の成長が気になる方は、お気軽にご相談ください。無理なく、自然な成長を活かした矯正治療で、お子さまの健やかな未来をサポートします。
小児矯正は乳歯から始める矯正治療の事で、主に3歳から12歳までの子どもの時期に行います。矯正治療は大人になってからでも可能ですが、乳歯の時期から始める事で、永久歯に生え変わってからでは得られないたくさんのメリットが得られます。
その理由は、大人は顎骨(がっこつ)の成長が終わっているため歯を動かすだけの矯正になりますが、子どもの場合、成長段階にあるため、顎(あご)の成長をコントロールしながら矯正を行う事ができるからです。たとえば「出っ歯」であれば、下顎を前に成長させたり、もしくは上顎の成長を抑制したりする事ができます。
「受け口」であれば下顎の成長を抑制したり、上顎の成長を促進させたりする事が可能です。矯正に成長が利用できると前後的な不調和がなくなり、それによって、抜歯をせずに矯正ができる可能性が高くなります。これが最大のメリットといえます。また、歯が異常な方向から生えてくると、歯並びに影響を及ぼし、顎が歪んでしまう事がありますが、早期に顎の歪みを発見できれば、悪い歯並びを治す事によって、その歪みを改善する事ができます。
矯正治療は、永久歯が生えそろう12歳頃を境目として、1期と2期の治療に分けられます。2期治療は大人の矯正と同じですが、小児期特有の1期治療では歯の移動だけでなく、顎の発達も視野に入れて土台からしっかり整える事で、最小限の負担で最大限の効果が期待できます。お子さまの出っ歯、受け口、かみ合わせなど、些細な事でも気になる点がありましたらお気軽にご相談ください。
上顎前突(じょうがくぜんとつ)
上顎の前歯が前に傾斜していたり、突き出ていたりする状態で、一般的に「出っ歯」と呼ばれています。
下顎前突(かがくぜんとつ)
下顎が上顎よりも前に突き出ている状態で、横顔がしゃくれたように見えます。かみ合わせが反対になるので「反対咬合」、あるいは「受け口」とも呼ばれています。
上下顎前突(じょうかがくぜんとつ)
上下の歯が前に突き出ている状態で、顎の骨に問題がある場合と、歯だけが前に出ている場合とがあります。うまく噛む事ができず、見た目も良くありません。唇を自然に閉じていられない場合もあります。
叢生(そうせい)(乱ぐい歯・八重歯)
歯並びがでこぼこな乱ぐい歯、犬歯が前に突き出た八重歯などをいいます。顎が小さいと歯が生える十分なスペースがないため、歯と歯が重なり合って、叢生が生じると考えられています。
開咬(かいこう)
口を閉じてもすき間ができ、上下の歯がきちんとかみ合わない状態です。前歯で食べ物をうまく噛み切る事ができないだけでなく、正しく発音ができなかったり、咀嚼(そしゃく)がうまくできなかったりする事もあります。
過蓋咬合(かがいこうごう)
上の歯が下の歯に深く被ってしまっている状態です。このため顔が短く見える事があります。上下の歯が過剰に接触し、歯を傷つけてしまう事もあります。
交叉咬合(こうさこうごう)
部分的に上下の歯のかみ合わせが反対になっている状態です。顎の関節に悪影響を及ぼし、顎関節症を引き起こす事もあります。
歯並びやかみ合わせが悪くなる原因として、指しゃぶり、口呼吸、舌の癖、頬杖などの習慣(癖)が関与している事があります。お子さまが4歳くらいになったら、以下の項目をチェックしてみてください。もし当てはまるものがあれば、小児矯正を検討したほうが良い可能性があります。
抜歯をせずに矯正ができる
可能性が高まります
大人になってからの叢生などの矯正治療では、歯をきれいに並べるスペースを確保するために抜歯が必要となるケースがほとんどです。小児矯正では、顎の筋肉や骨格の成長をある程度コントロールできるため、抜歯をせずに矯正治療ができる可能性が高くなります。
上下の顎のバランスや歯並びが整い
見た目が良くなります
上下の顎の成長をコントロールする事で、本来あるべき理想的な位置に歯を誘導する事ができます。結果として、上下の顎のバランスや歯並びが整い、見た目もより良くなります。お子さまの歯に関するコンプレックスも解消します。
歯がスムーズに移動します
成長段階にある子どものうちは、骨が軟らかく、大人と比較して歯がスムーズに動きます。そのため、歯が動く際の痛みも出現しにくくなります。
むし歯や歯肉炎の
予防につながります
歯並びが悪いと歯ブラシが届きにくい部位ができやすく、そこに食べかすなどの汚れがたまり、むし歯や歯肉炎のリスクを高めてしまいます。歯並びを整える事で、歯みがきがしやすくなるうえ、お口の自浄作用が働きやすくなり口内の病気の予防につながります。
簡単な装置で矯正が可能です
小児矯正では、大人の矯正で用いるワイヤー矯正のような歯に1本1本装着する装置は使用せず、簡単な装置で治療が可能です。また、放置すると骨格に異常が出てきてしまうようなケースでは、大人になってからの矯正では、顎骨切除などの手術が伴う事があります。子どものうちに矯正治療を開始する事で、そのような手術の可能性を低く抑える事ができます。
装着時間を守らないと
効果が出にくい
プレオルソは、基本的に日中1〜2時間の装着と就寝時の装着が必要です。しかし、お子さまが嫌がったり、装着時間が短かったりすると、十分な効果が得られない事があります。親御さんのサポートが大切になります。
トレーニングのやる気がないと
効果が出ない事も
装置の装着だけでなく、お口を育てるトレーニングが必要なため、トレーニングのやる気がないと矯正をはじめても全く変わらない事があります。
すべての症例に適応できる
わけではない
プレオルソは、顎の発育を促し、歯が並ぶ環境を整える装置ですが、すべての歯並びの問題が解決するわけではありません。症例によっては、成長後にワイヤー矯正や他の装置が必要になる事があります。
小児矯正では、歯並びや顎の成長に悪影響を与える癖や姿勢、食習慣などの改善も行います。また、口周囲の筋肉の訓練を行う事で、筋肉や骨格の健全な発育を促します。この筋機能の訓練は、矯正治療が終わった後の「後戻り」を防ぐ効果も期待できます。
歯並び、かみ合わせ、骨格の状態を細かくチェックし、お子さまに合わせた装置を用いて矯正治療を行います。小児矯正の矯正装置には、大きく分けて「可撤式矯正装置(取り外し式装置)」、「固定式矯正装置」、「顎外固定装置」があります。
床拡大装置(床矯正装置)
総入れ歯のような床(しょう:顎に密着する部分)を固定源にして、少しずつ歯を動かしたり顎を拡大したりする事で、歯並びやかみ合わせを整えていきます。装置中央にあるネジを回す事によって顎の横幅が広がります。歯の生え変わりの時期は、土台の顎の骨を拡大しやすく、将来の歯のでこぼこも予防できる可能性が高い装置です。
バイオネーター
バイオネーターは、下顎を前方に成長させて歯並びやかみ合わせを整える装置です。出っ歯の症例に使用する事が多いですが、出っ歯であれば必ず使用するというものではありません。下顎の成長が悪いといった症例が良い適応となります。。
ムーシールド
舌と唇のバランスが悪く、受け口になってしまった3~5歳のお子さまに使用します。マウスピース型の装置を就寝時に着用していただき、舌圧と口唇圧のバランスを整えます。
固定式矯正装置は、お子さまの意思にかかわらず常に装着されていますので、可撤式矯正装置(取り外し式矯正装置)と比べて効果が出やすい特徴があります。
クワドヘリックス
歯列の横幅を広げる装置で、可撤式矯正装置の床拡大装置と役割は同じです。
急速拡大装置
上顎の骨を土台ごと横に拡大して、上顎自体を大きくする装置です。上顎の真ん中には正中縫合といわれる骨の接合部があり、装置中央にあるネジを回し装置を拡げていく事でその部分が開いてきます。クワドヘリックスや床拡大床装置と異なり、骨ごと広げる事が可能です。上顎が小さい、受け口のお子さまが対象になります。
リンガルアーチ(舌側弧線装置)
リンガルアーチは太い針金に細い針金(弾線)が付いており、この弾線を調整して歯を動かします。色々な使い方がありますが、主に歯を前に出すときに使用します。受け口の症例に使用する事が多い装置です。
タングガード
舌を前に出す癖(舌癖)があると、舌で前歯を押してしまい前歯がかみ合わなくなる事があります。これを開咬(かいこう)といいますが、タングガードはそのような症例に用いられる装置です。
上顎前方牽引装置
上顎骨を前方に成長させる装置で、上顎骨の成長が悪い受け口の症例に使用します。
ヘッドギア装置
頭に装着するヘッドギアと口の中に装着する金具を組み合わせた矯正装置です。主に上顎の過成長が原因で、出っ歯になっている症例に使用します。上顎の成長抑制のほかに、上顎大臼歯を後方に移動させて上顎前歯を後退させるためのスペースを作る目的でも使用します。患者さんの年齢によって使用目的が異なる装置です。
チンキャップ
チンキャップは下顎の成長を抑制する装置です。顎に装着するチンキャップ、頭に装着するヘッドキャップ、それらをつなぐゴムバンドから構成されています。ゴムバンドの調整や交換によって、チンキャップ部分にヘッドキャップの方向から引っ張る力をかけ、下顎の成長を抑制します。下顎の過成長が原因で、受け口になっている症例に使用します。
小児矯正では様々な種類の装置を使用します。しっかりと診断を行い、その診断に基づいた装置を適切に選択する事が重要です。
当院ではプレオルソでの機能矯正装置のみです。
11万円(税込)
1年間、チェックは小児口腔機能発達不全症で保険で行う
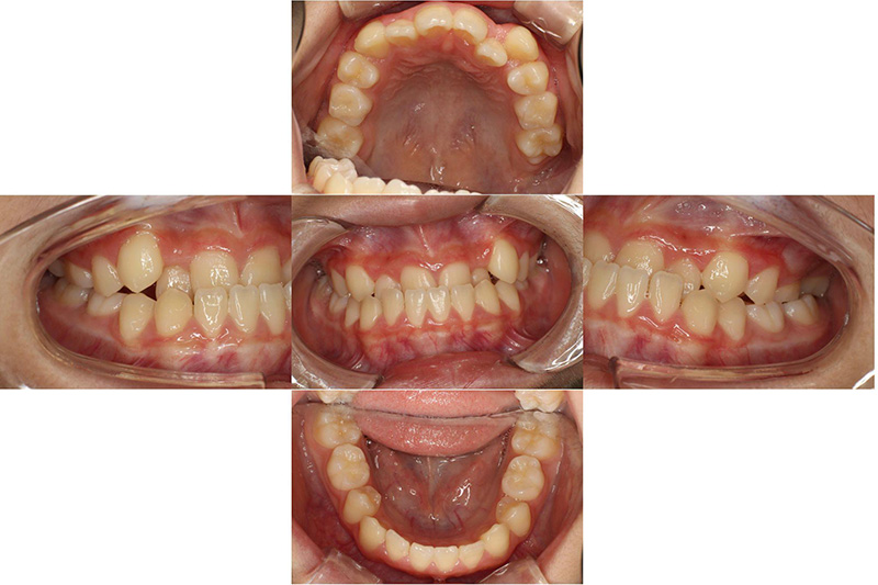
治療前
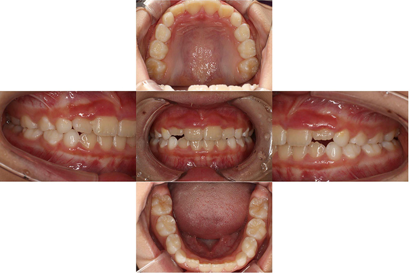
治療後
| 治療内容 | プレオルソタイプ3を日中1時間と夜間就寝時装着それに加え口腔周囲筋のトレーニング |
|---|---|
| 治療期間・回数 | 約12ヶ月、10回 |
| 費用 | 約11万円 検査費用含む |
| 副作用リスク | 後戻り 歯の痛み 歯の動揺 咬合違和感 |
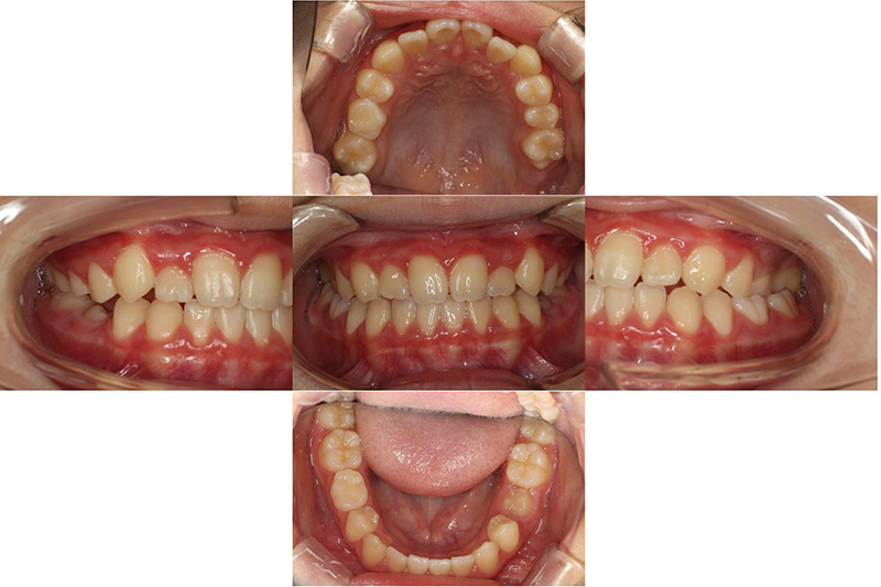
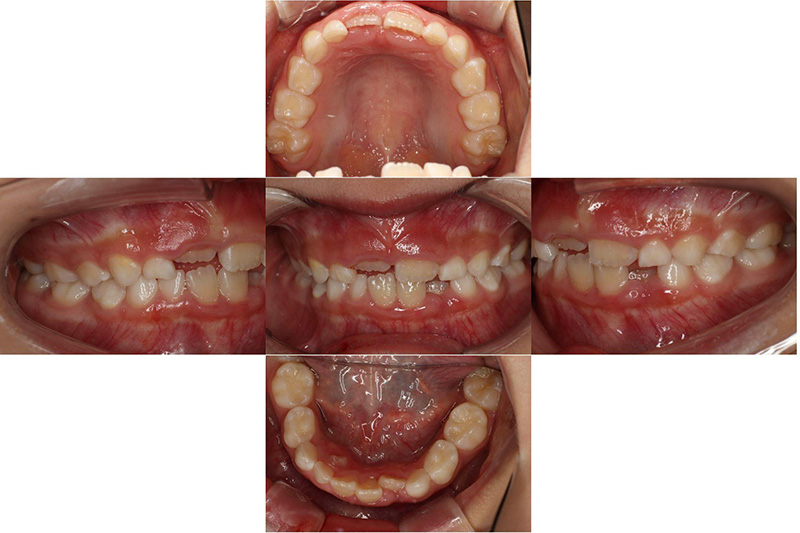
治療前
治療後
| 治療内容 | プレオルソタイプ1を日中1時間と夜間就寝時装着それに加え口腔周囲筋のトレーニング |
|---|---|
| 治療期間・回数 | 約12ヶ月、12回 |
| 費用 | 約11万円 検査費用含む |
| 副作用リスク | 後戻り 歯の痛み 歯の動揺 咬合違和感 |
TOP