審美歯科
審美歯科
当院では、自然な美しさと機能性を両立した審美歯科治療を提供しています。歯の見た目だけでなく、しっかり噛める事・長持ちする事を重視し、患者さん一人ひとりに合った治療をご提案します。
当院では、審美治療の被せ物・詰め物はジルコニア一択。金属を使用しないため、自然な白さと高い耐久性を実現します。また、口腔内スキャナーを使用する事で、従来の型取りより準備物が少なく、コストを抑えた価格で提供できるのも特長です。
被せ物を作る前に、ホームホワイトニングを組み合わせる事で、より自然で理想的な白さを実現できます。患者さんの希望する白さに合わせて、トータルで美しい口元を整えます。
小さな前歯の欠けや、すき間(すきっ歯)が気になる方には、ダイレクトボンディングによる治療を行っています。最小限の削りで、天然の歯のような自然な仕上がりにできるため、比較的負担が少なく、短期間で美しい前歯を手に入れる事が可能です。
「歯をもっと自然に美しくしたい」「白くしたいけれど、どんな方法があるか知りたい」という方は、ぜひ一度ご相談ください。当院の審美歯科治療で、自信の持てる笑顔をサポートします!
歯科医療の目的は口腔疾患の予防と治療により、口腔機能を健康的に保持していく事にあります。しかしながら、治療によって機能を回復できたとしても、審美的に満足感が得られなければ、心身ともに健康を取り戻したという実感は得られにくいといえます。
また、歯の外観や口元にコンプレックスを抱えている方は多く、歯をきれいに美しくし、歯肉や他の歯とのバランスを整える事は、口元の美しさを高めるだけでなく、自信や活力、明るさを取り戻すなど精神面でも良好な効果をもたらします。
審美歯科は、「歯を白くしたい」「歯並びをきれいに整えたい」といった見た目の美しさを追求する審美的観点と、噛み合わせや噛む力など機能面の改善を兼ね備えた歯科医療分野です。
当院では、歯を白くするホワイトニング、詰め物や被せ物では保険適用の取り扱いはもちろん、より見た目や機能性を重視したい方のご希望に添えるよう、セラミックやジルコニアなど審美性・耐久性に優れた材料を種類豊富にご用意しています。「歯の美しさ」に焦点をあてた様々な方法をご提案いたします。お気軽にご相談ください。
むし歯などで失った(もしくは欠けてしまった)歯を専用の素材を用いて修復し、形状・色調・質感を限りなく天然歯に近い状態まで仕上げる治療法が「審美治療」です。変色した歯を白く加工したり、歯のすき間をきれいに塞いで修復したりする事もできます。
保険診療によるものと、さらなる機能性や審美性をご希望される場合は、保険適用外の自費診療も行っています。自費診療によって美しさや耐久性、装着感が格段に良い治療ができる場合も多くあります。
まずは、ご希望をうかがいお口を詳しく診査し、その結果をもとに治療計画を立てて、同意をいただいてから治療に入ります。ご不明な部分はどうぞご遠慮なくおたずねください。
カウンセリング・診断
気になる部分やどの程度きれいにしたいのか、などを聞かせていただくと同時に、お口の中の状況を確認させていただきます。
治療計画の立案
「いつまでに治療を済ませたい」といったご希望や、実際にかかってくる費用のお話しをさせていただきます。また、具体的にどのような順序で治療を進めていくのかを決めていきます。
治療
1・2でうかがったご希望と治療計画に基づいて治療を進めていきます。
完成
メンテナンス
軽度のむし歯などで歯を少しだけ削ったあとに入れて治療するのが詰め物(インレー)です。歯の一部分だけを補うので、歯の土台を形成する必要はありません。主に臼歯に行います。
コンポジットレジン(CADCAM)インレー
コンポジットレジンとは、白色の歯科用プラスチック素材の事で、ちょっとしたむし歯治療によく用いられます。
メタルインレー(銀色の金属素材)
奥歯の詰め物に用いられる銀色のインレーで、金銀パラジウム合金という金属が使用されます。
ジルコニアインレー(セラミック)
すべてジルコニア(高強度セラミック)で作られた、耐久性と審美性を兼ね備えたインレー(詰め物)です。金属を使用しないため、自然な白さを保ちつつ、変色の心配がありません。また、ジルコニアは非常に硬く、割れにくいため、奥歯の強い咬む力にも耐えられるのが特長です。
さらに、生体親和性が高く金属アレルギーの心配がないため、安心して長期間使用できます。「白くて丈夫な詰め物を選びたい」という方におすすめの治療法です。
被せ物(クラウン)は、むし歯で歯を多く削ったり、神経を取ったりした場合によく使われます。保険診療と自費診療とで使用できる素材が大きく異なります。
硬質レジン前装冠(前歯のみ)
硬質レジン前装冠は、外から見える表側がレジン(プラスチック)、裏側が金属(金銀パラジウム合金)で構成されたクラウン(差し歯)です。前歯に限り保険で作製する事ができます。
メタルクラウン(金属冠:銀歯)
冠全体が金属でできている、いわゆる「銀歯」です。金銀パラジウム合金を使用します。色がかなり目立ちます。
CADCAM冠
CADCAM(キャドキャム)はComputer aided design Computer aided manufactureの略称です。CADCAM冠とは、3Dカメラで治療箇所をスキャンし、その情報を元にコンピューターが設計して、3次元切削加工機がブロックを削って作製する冠(クラウン)です。
セラミックとレジン(プラスチック)を合わせた材料(ハイブリッド)で、保険診療で白い歯を作る事ができます(歯の部位によって保険適用とならない場合があります)。
ジルコニアクラウン
ジルコニア(高強度セラミック)で作られた、耐久性と審美性を兼ね備えた被せ物(クラウン)です。金属を使用しないため、自然な白さと透明感があり、長期間使用しても変色しません。
また、ジルコニアは非常に硬く、割れにくいため、奥歯の強い噛み合わせにも対応可能。さらに、生体親和性が高く金属アレルギーの心配がないため、安心して使用できます。
「白くて丈夫な被せ物を選びたい」「長持ちするクラウンがほしい」という方におすすめの治療法です。
被せ物(クラウン)を歯に装着するには、土台(コア)が必要となります。この土台に関しても保険診療と自費診療があり、使用できる素材が異なります。
メタルコア
メタルコアは金属製の土台です。保険診療で欠損が大きい歯の治療する場合などに多く使用されています。金属アレルギーや歯肉の変色のリスクなど、オールセラミックに比べ、劣る面もありますが、保険適用で丈夫という利点があり、経済性を重視するのであればお勧めの素材です。
レジンコア
レジンコアは、歯科用プラスチックであるレジンを用いた土台です。色が白く、セラミッククラウンを被せたときに見た目が良くなるため、前歯部で噛み合わせの力があまりかからないようなケースで積極的に使用されています。メタルコアに比べ強度が劣るため、奥歯で強い力がかかる部位などには使用できない事があります。
ファイバーコア
ファイバーコアは、レジンコアにFRC(ガラス繊維強化樹脂)という支柱(ポスト)を入れ、強度を高めた土台です。天然歯と同様の色で審美性に優れています。柔軟性が高く屈曲しながら力を分散するため歯への負担が軽減でき、歯根破折の可能性も低くなります。金属アレルギーの心配もありません。
レジンというプラスチック素材で、歯の形を修復したり、歯のない部分を補ったりする治療です。短時間の修復で、天然の歯の色を再現できるため、取り組みやすい審美治療といえます。また、小さなむし歯を削った後に詰めれば、治療跡がわからない程自然な修復が可能です。
保険適用の素材にはコンポジットレジンがあります。自費診療ではコンポジットレジンに、細かいセラミックの粒子を混ぜたハイブリッドセラミックを使用します(セラミックを混ぜ合わせる事で、研磨により、天然の歯のようなツヤを再現できます)。
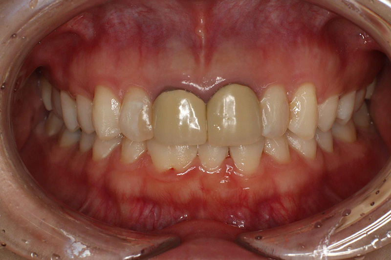
治療前
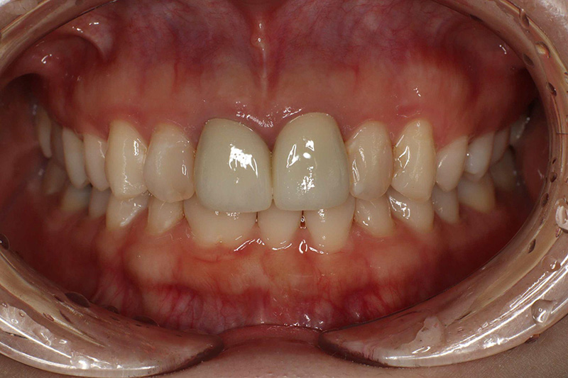
治療後
| 治療内容 | 前歯2本を仮歯にしてジルコニアクラウンで治療を行い審美面機能面の回復をした。 |
|---|---|
| 治療期間・回数 | 約1ヶ月、3回 |
| 費用 | 総額17万6000円 検査仮歯代金含む |
| 副作用リスク | 歯肉出血、歯肉退縮、歯根破折、咬合違和感 |
TOP